非酒精性脂肪性肝病(NAFLD,Nonalcoholic fatty liver disease)是一种肝脏中储存过多脂肪的疾病。这种脂肪堆积不是由于大量饮酒引起的,当大量饮酒导致肝脏脂肪堆积时,这种情况称为酒精性肝病。NAFLD有两种类型:单纯性脂肪肝和非酒精性脂肪性肝炎(NASH,nonalcoholic steatohepatitis)。NASH是世界范围内肝脏疾病*重要的原因之一,在发达国家已成为*常见的肝脏疾病,在发展中国家的发病率也逐年上升。
2019年称为“Year of NASH”,有4家制药公司的NASH候选药物进入III期临床开发阶段,有近百种药物进入临床试验阶段(Clinical trials)。截止目前,也没有批准的有效的NASH治疗药物和方案。FDA在一份指导文件中表示,NASH治疗成功、纤维化改善或者两者结合是潜在的批准NASH疗法的可接受终点。尽管如此,哪个终点以及哪种药物在该领域*早证明有用,仍没有公认结果。
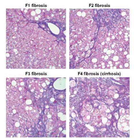
导致NASH的主要危险因素包括肥胖、II型糖尿病、血脂异常和代谢综合征等。NASH除了肝脏脂肪变性,还包括膨胀、炎症和纤维化。在NASH中后期,炎症和肝细胞损伤可导致肝纤维化或瘢痕形成,可以进一步发展为肝硬化或肝癌。根据这些特点,动物模型研发近些年也取得了较大的进展,特别在纤维化(Liver fibrosis),并*终发展到肝癌(Hepatocellular carcinoma)阶段。肝纤维化是指反复或长期的损伤或炎症导致肝脏内大量瘢痕(scar,纤维化)组织积聚。虽然一些动物研究显示了肝脏自我再生或自我愈合的潜力,但一旦人类的肝脏受损,肝脏通常不会愈合。然而,药物和生活方式的改变有助于防止纤维化恶化,且可以用小鼠模型来进行临床前评价。肝纤维化常参考的指标是人的肝脏纤维化METAVIR 评分系统,将纤维化分为4级。纤维化阶段从F0到F4:F0:无纤维化;F1:无间隔门脉纤维化;F2:门脉纤维化伴少量间隔;F3:大量间隔,无肝硬化;F4:肝硬化。

NASH小鼠模型可以分为4类:(1)日粮诱导模型,(2)化学物质诱导模型,(3)基因编辑模型,(4)前面2种,或者3种方法结合在一起的综合模型,这类模型的优点是疾病模型的病理特征*典型和全面。由于纤维化改善是潜在的批准NASH疗法的可接受终点,因而本文重点介绍一下纤维化模型。
1. 日粮诱导模型
采用高脂、高糖、和/或高胆固醇饲料,或者MCD(蛋氨酸胆碱缺乏饲料),可以成功诱导肥胖,或者营养缺乏的NASH模型。比如对于C57BL/6小鼠,采用Research Diets公司 的D12492饲料(高脂饲料,60%脂肪供能),可以诱导肥胖,基本没有纤维化。采用D09100310饲料(NASH饲料,替代FDA禁止使用含反式脂肪酸的饲料AMLN DIET,40%脂肪供能,主要是棕榈油、20 %果糖和2%胆固醇),12~16周诱导出脂肪变性;20~26周诱导出炎性小体;26~34周诱导出纤维化。日粮诱导型NASH模型的特点是,模拟了肥胖、II型糖尿病、血脂异常和代谢综合征等特征,但小鼠肝纤维化比较弱,基本上不会发生HCC。在日粮诱导模型中,添加高比例的果糖、葡萄糖和胆固醇,小鼠的肝纤维化可以达到F2级标准(moderate中度纤维化),是目前应用较多的一种临床前小鼠NASH模型。
2. 化学物质诱导模型
化学物质诱导的肝损伤和肝纤维化很常见,已用于小鼠肝脏纤维化模型的构建,这类模型发展到肝硬化和肝癌的几率也很高[2]。常用的诱导物有,四氯化碳(CCL4)、硫代乙酰胺(TAA)和链脲菌素(STZ)等。CCL4和TAA常用于成年鼠,STZ用于新生鼠。CCl4和TAA的毒性机制尚不完全清楚,但涉及肝细胞对CCl4和TAA的摄取和转化,代谢产物引起氧化性坏死炎症的反应和分泌胶原蛋白的细胞的过度活化和增殖。用特定背景的新生小鼠,结合高脂日粮和STZ诱导,可以建立“STAM”小鼠模型,其8周表现出NASH的特征,12周出现纤维化,*终接近100%的雄鼠表现出HCC[3].
3. 基因编辑模型
与代谢相关的基因,或者表达对肝脏细胞有损害作用的蛋白,科研工作者研发了许多NASH基因编辑模型(见综述[2])。这里简介3种NASH基因编辑模型,结合高脂饮食,可以更快和更高比例的获得NASH模型,纤维化特征明显。低密度脂蛋白受体(Ldlr)基因家族,由参与特定配体受体介导内吞作用的细胞表面蛋白组成。Ldlr KO小鼠血清胆固醇水平,是野生小鼠的2~4倍。结合高脂(HFD-fed)饲喂LDLR ko小鼠,可以诱导以肥胖、高胆固醇血症为特征的代谢综合征、高甘油三酯血症和胰岛素抵抗症状;类似于人NASH模型为特征的模型。
Mc4r(黑皮质素4受体)是一种蛋白质编码基因。Mc4r 纯合敲除小鼠在6~8周时,体重高达30g,表现出明显的肥胖。结合高脂(HFD-fed)饲喂Mc4r KO小鼠,更容易表现出肝脂肪变性、肝纤维化和肝细胞癌,类似于人NASH模型为特征的模型 [5]。
尿激酶型纤溶酶原激活物(urokinase-type plasminogen activator,uPA),在细胞外基质的降解过程中发挥重要作用。uPA对肝细胞有毒性,会引起肝损伤。*早在1992年Sandgren等就做出了Alb-uPA转基因小鼠,用来研究肝癌。不过由于uPA的肝毒性,Alb-uPA小鼠在出生4天就会出现溶血症状,*终会大部分死亡。2000年Weglarz等作了改进[6],做出了MUP-uPA转基因小鼠,使用MUP增强子/启动子在肝细胞中特异性表达uPA, 用来研究肝细胞移植。与Alb-uPA类似,由于基因丢失,uPA的表达会逐渐降低;不同的是MUP-uPA小鼠要到2-4周之后才会开始表达uPA,从而降低新生小鼠的死亡率。2017年在Nature发表了重磅研究[7],将MUP-uPA小鼠,通过10代回交到了C57BL/6背景,饲喂高脂高糖饮食(WD-SW),3个月表现出典型的NASH病变,如肝脂肪变性,脂肪性肝炎(包括ballooning hepatocytes and Mallory-Denk bodies),在6~11个月后,90%的小鼠出现HCC。从RNA-seq和组化数据证明,该模型是目前报道的*好的模拟人类NASH和HCC的模型。
由于NASH的病因广泛,公认是一种异质性的疾病,因而也为模型的选择带来了困难。缓解纤维化作为潜在的批准NASH疗法的可接受终点,使得动物模型中的纤维化指标变得更为重要。